内容来源:石家庄苏亚美联臣精品美容牙科 2013-06-08
无托槽隐形牙齿矫正怎么样?

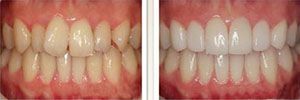
无托擦隐形牙齿矫正效果对比图
无托槽隐形牙齿矫正怎么样?首先看无托槽隐形牙齿矫正是什么。无托槽隐形牙齿矫正是一种新型牙齿矫正技术。无托槽隐形牙齿矫正矫正牙齿的效果怎么样?无托槽隐形牙齿矫正通过戴用和更换一系列不同的透明高分子材料牙齿矫正器,可轻松矫正牙列不齐、牙齿拥挤、前牙稀疏、牙齿反颌等系列牙齿排列问题。
无托槽隐形牙齿矫正器是什么样子的呢?

无托槽隐形牙齿矫正器
无托槽隐形牙齿矫正器是一种由德国进口弹性透明高分子材料制成的牙齿矫正器。无托槽隐形牙齿矫正器区别于传统牙齿矫正器明显的特点就是美观度高,完全避免了传统牙齿矫正过程中钢丝牙套等难看牙齿矫正器给人造成的尴尬。了解更多无托槽隐形牙齿矫正器的知识,可详细咨询在线医生。
这种新型牙齿矫正器,使得无托槽隐形牙齿矫正,在矫正牙齿过程和佩戴牙齿矫正器期间注意事项受到关注。无托槽隐形牙齿矫正适合哪些人?进行无托槽隐形牙齿矫正要注意什么?无托槽隐形牙齿矫正中的牙齿矫正器怎么摘戴,又如何清洗?这些问题都是直接影响无托槽隐形牙齿矫正效果的因素。