内容来源:石家庄苏亚美联臣精品美容牙科 2013-06-04
成人牙齿矫正什么方法好?隐形牙齿矫正?
成人牙齿矫正是目前很多牙科诊所都大范围开展的一个项目。顾名思义,成人牙齿矫正即矫正成人牙齿,主要针对于牙齿畸形或牙列不齐且错过牙齿黄金矫正期的成人。
成人牙齿矫正方法的选择对成人牙齿矫正效果有着性的影响。成人牙齿矫正什么方法好?现在发展成熟的成人牙齿矫正方法很多,如钢丝牙套成人牙齿矫正、陶瓷托槽成人牙齿矫正、全瓷牙成人牙齿矫正等等。另外,近两年来比较流行的美容冠快速矫正和隐形牙齿矫正也都是很受欢迎的成人牙齿矫正方法。

成人牙齿矫正什么方法好?有人说隐形牙齿矫正是非常适合成人牙齿矫正的好方法。隐形牙齿矫正完全隐形,在成人牙齿矫正期间丝毫不影响成人的正常生活和工作。成人牙齿矫正什么方法好?为什么一些人会说隐形牙齿矫正是成人牙齿矫正的好方法?结合3D数字化定位技术,隐形牙齿矫正显著提高了患牙移动的位移精确性,并使得成人牙齿矫正期间患牙的移动方向可预测。详细了解隐形牙齿矫正,可咨询在线医生。
成人牙齿矫正什么方法好?真的是隐形牙齿矫正吗?美联臣精品美容牙科成人牙齿矫正医生王俊祥指出,隐形牙齿矫正固然有它的好处,但隐形牙齿矫正未必是很好的成人牙齿矫正方法。
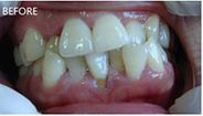
医生指出,成人牙齿矫正方法哪种好,关键还是要看患者的情况:成人要矫正的牙齿是单纯地排列不齐还是存在畸形?需要进行牙齿矫正的成人是不是同时也需要进行牙齿美白?成人对牙齿矫正过程、时间等有没有特殊需求?……
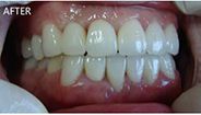
成人牙齿矫正什么方法好?可见,隐形牙齿矫正未必对所有成人而言都是牙齿矫正不错的方法。例如,美容冠快速矫正能够7天快速矫正成人牙齿,并且还能显著改善牙色,使牙齿色泽亮白,也是很多成人青睐的牙齿矫正方法。只是隐形牙齿矫正和美容冠快速矫正都有一定的适用对象,不同口腔情况患者需结合自身条件详细咨询在线医生,才能确定更适合自己的成人牙齿矫正方法。