内容来源:石家庄苏亚美联臣精品美容牙科 2013-05-24
冷光牙齿美白对遗传性黄牙、内源性色素牙和外源性色素牙都有美白效果,能显著改善牙色、保持口腔健康并迅速提升牙齿美白者形象。
你有黄牙、黑牙吗?你的牙齿属于咖啡牙、色素牙、烟渍牙、氟斑牙或者四环素牙吗?美国牙齿美白医生亨利指出,无论你是哪种原因引起的牙齿色泽异常,都可以通过冷光牙齿美白迅速告别满口令人生厌的黄牙、黑牙。

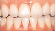
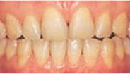
由于小时候用牙习惯不佳且不注意口腔卫生,石家庄桥西区的侯女士深受满口黄牙的困扰:虽然读了相关专业却因一口黄牙做不了空姐;虽然长得还算标致却因一口黄牙找不到称心如意的对象……因为黄牙吃了亏的侯女士逐渐意识到美白黄牙的迫切性,尝试了不少牙齿美白方法却都以失败告终。由于工作关系,侯女士也没有办法拨出很长时间来做全瓷牙等牙齿美白项目。近期在同事推荐下她终于找到了理想的牙齿美白方法——冷光牙齿美白。网上在线详细咨询了牙齿美白医生后,侯女士到院进行了冷光牙齿美白。上面就是侯女士在美联臣牙科进行冷光牙齿美白前后的效果对比图。
侯女士称,利用冷光牙齿美白,整个美白过程非常短,其间感觉十分舒服,没有任何酸麻胀痛。而且,按照牙齿美白医生告诉她的方法,做完冷光牙齿美白后在日常生活中的护理也十分简便,只要坚持下去牙齿美白效果都能保持两年以上。